top of page
Clinical Case 2
Apicectomy in Upper left central Incisor
A 50-year-old female received a huge traumatism on the anterior upper area. Tooth 21 was treated with an endodontic treatment. After 3 years the tooth presented a severe apical root infection with a fistula, mobility and pain. Treatment included bone grafting with CoreBone and closing with Collagen membrane. Follow up period 18 months.


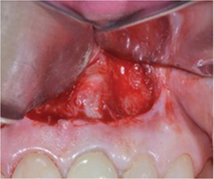
Fig.3 Partch incision for apical lesion exposure

Fig.4 Apicectomy and lesion elimination

Fig.5 CoreBone 500 biomaterial filling bone defect

Fig.6 CoreBone 500

Fig.7 CoreBone after hydration

Fig.8 Double collagen membrane covering CoreBone

Fig. 9 Wound closure

Fig.1 Panoramic Rx with periapical lesion
Fig.2 Periapical Rx with apical lesion
18 months follow up

CBCT image after 18 months, new bone formation visible at the root tip
Clinical image of complete bone healing

bottom of page



