top of page
临床病例2
左上中央切牙根尖切除术
一位50岁女性,上颌前牙区遭受巨大外伤。21号牙齿接受了根管治疗。3年后,该牙齿出现严重的根尖感染,并伴有瘘管、松动和疼痛。治疗包括使用CoreBone植骨,并使用胶原膜封闭。随访期为18个月。


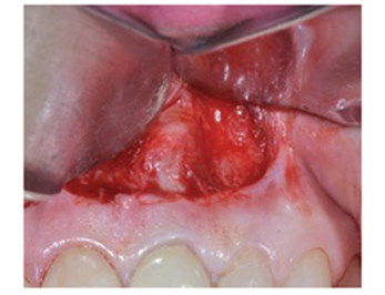
图3:Partch切口暴露根尖病变

图 4:根尖切除术和病变
消除

图5:COREBONE 500生物材料填充骨缺损

图 6:COREBONE 500(粒径 300-450 微米)

图7:水合后的COREBONE

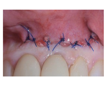
图9:伤口闭合

图9:伤口闭合

图1:根尖周病变全景X线片
Fig.2 Periapical Rx with apical lesion
18个月的随访

18 个月后的 CBCT 图像,根尖处可见新骨形成
骨完全愈合的临床图像

bottom of page



